meta pixel

James Schaller is the doctor who authored seven Babesia textbooks. Here is an amazing case where it is better to use expert top Babesia doctors.

A 63-year-old male patient presented with spontaneous fever and chills

Laboratory investigations revealed low RBCs, reduced hemoglobin levels, and increased reticulocytes and total bilirubin.

Initial treatment focused on hemophagocytic syndrome triggered by Epstein-Barr virus infection yielded unsatisfactory results, leading to secondary multiple pulmonary infections. Metagenomic next-generation sequencing (mNGS) of sputum samples indicated that hemolytic anemia (broken red blood cells) was induced by Babesia.

Fragmented red blood cells were confirmed through peripheral blood smear analysis.

The patient was under care for about four months.

The patient responded well to prompt administration of atovaquone and azithromycin, with symptoms resolving and laboratory parameters normalizing. Hemolytic anemia resulting from babesiosis should be distinguished from hemophagocytic syndrome caused by Epstein-Barr virus and other hematologic conditions. mNGS represents an efficient technique for Babesia detection.

IDR 17 3785 g0001
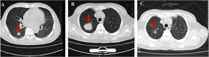
Chest CT of the patient (July 2023 in (A) picture, September 2023 in (B) picture, November 2023 in (C) picture, red arrows indicate pulmonary mass shadow).

While we still have the #1 Babesia Hematology identification book, this is lovely imaging but very dangerous with over 25% of the red blood cells infected. Typically, diagnosing such patients takes significant time, partly because medical training provides minimal instruction, and infection specialists receive very trivial education.

image

After many doctors gave care, it was discovered that the patient had been bitten on the neck by ticks [plural] six months earlier while working in a mountainous area.

Although no significant bite marks or lesions were observed, no treatment had been administered at that time. Ticks have infectious saliva and four ways to be invisible.

Finally, treatment began with atovaquone 750 mg orally every 12 hours (basic dosing in many of our research cases showed little effect), plus azithromycin 500 mg intravenously once a day for Babesia, sulfamethoxazole-trimethoprim for Pneumocystis jirovecii and Nocardia, along with human immunoglobulin to bolster immunity. 

So this was more than basic treatment.

Source and Source Pictures: Lu Y, Zhang D, Han D, Yu F, Ye X, Zheng S. Case Report: Diagnosis of Hemolytic Anemia from Babesia and Secondary Multi-Pathogen Pneumonia Using a Metagenomic Next-Generation Sequencing Approach. Infect Drug Resist. 2024 Sep 2;17:3785-3791. doi: 10.2147/IDR.S472861. PMID: 39247756; PMCID: PMC11378987.

artemisinin cover 396x584 1.jpg
babesia 2009 update COVER
babesia health 2006
BabesiaLabGuide396x566.jpg

Schedule A Consultation

FILL OUT THE FORM OR CALL US

WHAT HAPPENS IN A CONSULTATION?

01. Get to know Dr. Schaller.

02. Help him understand you and your concerns.

03. He makes you comfortable physically and runs complete tests to direct your cure.

REQUEST A CONSULTATION

* All indicated fields must be completed.
Please include non-medical questions and correspondence only.
Your contact information is never shared or sold, and we do not send texts without being asked.

Accessibility Toolbar