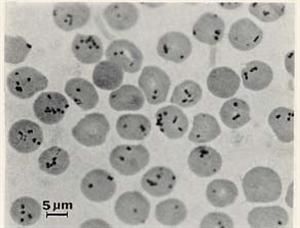
WHAT IS BARTONELLA?
THE MOST IMPORTANT INFECTION ON EARTH? A GERM NO ONE KNOWS ABOUT? As I write this, I have a 600-page draft of a Bartonella book. I have written 13 books on infections, but this infection really scares me. Why? My family had it, and so have many of my patients over almost three decades. And …
